Segurança
Barbeiro morto com mais de 35 tiros será sepultado nesta sexta-feira
violência animal
Tutores pedem ajuda para custear o tratamento do animal
O gato Mimo, um dócil “laranjinha”, foi vítima de violência animal ao ser baleado pela segunda vez, sofrendo ferimentos graves que agora exigem uma cirurgia complexa para evitar a perda de um membro.O gato foi baleado em Cascavel, no Oeste do Paraná.
O tutor, Rafael, relatou que o animal escapou recentemente e retornou apenas à noite, sem conseguir apoiar a pata dianteira esquerda e com marcas de sangue.
LEIA TAMBÉM
“Jamais imaginamos que ele tinha sido vítima da maldade de alguém. Achamos que tinha caído e quebrado a patinha”, desabafou.
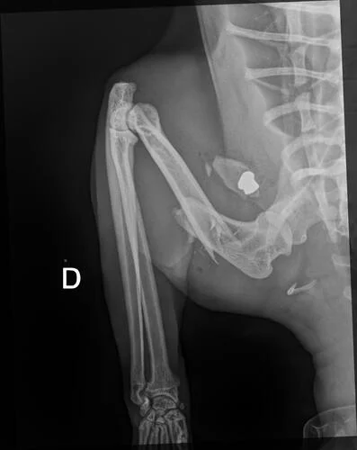
O exame de raio-x revelou que o ferimento não era uma queda, mas o gato foi baleado com projétil de arma de fogo. Alguém teria atirado no animal de forma intencional.
“Sabemos que gato não é fácil, e infelizmente algumas pessoas não gostam deles, mas precisava mesmo atirar em um bichinho tão dócil e indefeso?”, questionou o tutor.
Mimo segue internado para estabilização e aguarda o procedimento cirúrgico para tentar recuperar o membro atingido.

Os custos com internamento, medicamentos e a cirurgia ortopédica para o tratamento do gato baleado são elevados e ultrapassam a capacidade financeira imediata da família. Por isso, uma vaquinha online foi aberta para arrecadar fundos e garantir que o Mimo possa voltar para casa com saúde.
A família agradece qualquer contribuição para salvar o “laranjinha” e pede que a justiça seja feita contra atos de maus-tratos a animais na região.
Para ajudar no tratamento do Mimo: Chave Pix (E-mail): [email protected]
Para mais notícias da categoria segurança, acesse o Massa.com.br
CONTEÚDOS RELACIONADOS
colisão frontal
Segurança pública
Procurado
TRAGÉDIA